[Chargement des images 000%]

blanc preload
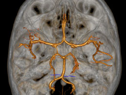
Perforantes du tronc basilaire Perforantes de l'AICA et AICA (Artere cerebelleuse antero inferieure) Perforantes de l'AICA et AICA (Artere cerebelleuse antero inferieure) Perforantes de l'AICA et AICA (Artere cerebelleuse antero inferieure) Artère cérébelleuse supérieure Artère cérébrale moyenne (ACM) Artère cérébrale moyenne (ACM) PICA (Artère cérébelleuse postéro-inférieure)