[Chargement des images 000%]

blanc preload
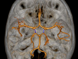
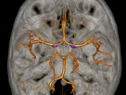
Perforantes de l'artère carotide interne Perforantes de l'artère carotide interne Perforantes de l'artère communicante postérieure Perforantes de l'artère communicante postérieure Perforante de A1 (artère recurante de Heubner) Perforante de A1 (artère recurante de Heubner) Perforantes de M1 (ACM) ou artère lenticulo-striée Perforantes de M1 (ACM) ou artère lenticulo-striée Perforantes du sommet du tronc basilaire, artères de la fossette interpedonculaire (artère thalamoperforante, artère de Percheron) Perforantes de P2 (branche thalamo-geniculante) Perforantes de P2 (branche thalamo-geniculante) Perforantes de P1 (ACP) dont artères postero-latéral et postero-medial choroïdienne Artère choroïdienne antérieure Artère choroïdienne antérieure Artère cérébrale moyenne (ACM) Artère cérébrale moyenne (ACM) Artère cérébrale antérieure (ACA) Artère cérébrale postérieure (ACP)