[Chargement des images 000%]

blanc preload
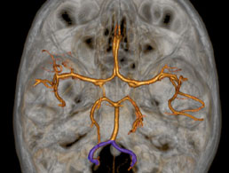
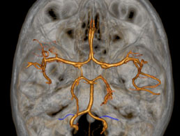
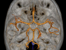
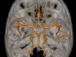
Perforantes de la PICA Perforantes de la PICA PICA (Artère cérébelleuse postéro-inférieure) Perforantes de l'artère vertébrale Perforantes de l'artère vertébrale Axe spinal antérieur Axes spinaux-postérieurs

Territoires vasculaires des artčres :

Francais English Espańol

Florence Tahon - Clinique Universitaire de Neuroradiologie - CHU de Grenoble

Illustrations : Cédric Mendoza